Pharmacophore an International Research Journal
Pharmacophore
Submit Manuscript
Open Access | Published: 2023 - Issue 5

EFFECTS OF DIMETHYL SULFOXIDE ON HIPPOCAMPAL ACTIVITY IN A ROTENONE-INDUCED RAT MODEL OF PARKINSON’S DISEASE

Lilit Darbinyan1, Karen Simonyan2*, Larisa Manukyan1, Lilia Hambardzumyan1

 

  1. Sensorimotor Integration Lab, Orbeli Institute of Physiology NAS RA, Yerevan, 0028, Armenia.
  2. Neuroendocrine Relationships Lab, Orbeli Institute of Physiology NAS RA, Yerevan, 0028, Armenia.

ABSTRACT

The second-most frequent neurodegenerative condition worldwide is Parkinson's disease. The goal of this study was to examine the effects of DMSO in a rat model of Parkinson's disease caused by rotenone. Due to its capacity to increase the penetration of potential water-insoluble drugs into the central nervous system, DMSO has been widely used in preclinical and clinical studies. In this study, we examined how three weeks of rotenone and DMSO treatment affected hippocampal neuronal activity and neuronal response properties in rats. The toxic effects of rotenone on DMSO-treated hippocampal CA1 and CA3 cells were compared.  We found that rotenone caused profound morphological changes in the hippocampal cells. We showed that pyramidal cells and Nissl bodies in the hippocampus CA1 and CA3 areas of rats given rotenone therapy dramatically improved after DMSO treatment. DMSO effectively suppressed both inward and outward currents. Background and evoked spike activities were recorded in the hippocampus of rats administered DMSO (1 ml/kg i.p. for 3 weeks). Rotenone enhances TP and induces a milder TD effect, while DMSO also enhances TP but induces a stronger TD effect. The analysis revealed inhibitory effects in the hippocampus in response to high-frequency stimulation (HFS; 100 Hz for 1 s) of the ipsilateral entorhinal cortex.

Keywords: Parkinson’s disease, DMSO, Hippocampus, Rotenone


Introduction

The second most common age-related neurodegenerative illness is Parkinson's disease (PD). The animal model of Parkinson's disease known as the rotenone rat model is well-known and has undergone significant research [1]. Detailed neuropathological results in this paradigm show that rotenone promotes motor impairment without significantly destroying dopaminergic neurons [2, 3]. As structural and functional abnormalities of this region have been seen in individuals with sporadic [4, 5] and hereditary variants of the illness, the hippocampus is implicated in the memory difficulties seen in Parkinson's disease [4, 6]. Additionally, behavioral alterations and memory problems are linked to hippocampal abnormalities [7, 8]. Drugs that are insoluble in water are routinely dissolved in dimethyl sulfoxide (DMSO). As a solvent for different pharmacological drugs, it is often utilized in both in vitro and in vivo neurology investigations [9]. The biological effects of DMSO, notably in neurology, have been the subject of several investigations [10]. Na+, K+, and Ca2+ currents, for instance, are inhibited by DMSO [11]. In Aplysia ganglion cells, acetylcholine, glutamate, and GABA all enhance membrane permeability, which is inhibited by DMSO [12]. Additionally, DMSO reduces the activation of NMDA receptors on hippocampal neurons and inhibits NMDA and AMPA currents [9]. DMSO crosses the blood-brain barrier and is effective in treating traumatic cerebral edema by lowering intracranial pressure and increasing cerebral blood flow without changing blood pressure [13]. This study's main objectives were to measure the activity of hippocampal neurons in a rotenone model of Parkinson's disease and determine how DMSO affected male rats following rotenone treatment.

Materials and Methods                                                                                               

Animals

Ten 200–240 g-weight male Wistar rats served as the subjects for this investigation. Rats were housed in polycarbonate cages with five rats per cage in a thermostatically controlled environment with 12 hours of light and 12 hours of darkness, a temperature of 24 °C, and 45% relative humidity. During the whole trial, the rats' body weights were tracked.

The experimental procedures followed the guidelines outlined in the European Communities Council Directive (2010/63/UE) and were approved by the Ethics Committee of the Yerevan State Medical University after Mkhitar Heratsi (Approval code: N4 IRB APPROVAL, November 15, 2018).

Experimental Design

Tenrats were randomly allocated into 2 groups. Rotenone was administered subcutaneously to Group A (rotenone) every other day for 21 days at a dosage of 2.5 mg/kg diluted in sunflower oil (Sigma-Aldrich). 1% DMSO (Sigma-Aldrich, St. Louis, MO, USA; 1 ml/kg; i.p.) was administered to Group B (DMSO-treated) for 21 days (rotenone 3 weeks + DMSO 3 weeks).

 

In Vivo Extracellular Recording (Single-unit Recording)

All rats were terminated humanely after the 6-week research period using deep urethane anesthesia (1.1 g/kg, i.p.). Dithylinum was used to immobilize the animals at 1% (25 mg/kg, i.p.). Rats that had been anesthetized and shaved were put in a stereotactic frame and given artificial breathing. The rat brain atlas stereotaxic coordinates (AP – 3.2-3.5; L ± 1.5-3.5; DV +2.8–4.0 mm) were used to repeatedly insert a microelectrode filled with a 3 M KCl solution into the hippocampus in order to record extracellular spike activity from hippocampal neurons [14]. Bipolar silver electrodes were used to provide rectangular current impulses with a length of 0.05 ms and an amplitude of 0.6–0.8 mA to the contralateral entorhinal cortex (EC) during high-frequency stimulation (HFS, 100 Hz for 1 sec) (Figure 1). The stereotaxic coordinates AP -9, L 3.5, and DV +4.0 mm were used to place a stimulating electrode into the ipsilateral entorhinal cortex. According to our earlier investigations, the Student's t-test and Mann-Whitney U test were used to examine the statistical significance of the heterogeneity of interspike intervals (or spike frequencies) of the pre- and post-stimulus impulse flow [15].

 

Figure 1. Structures of Rotenone and DMSO. Rat brain (hippocampus) in the stereotaxic coordinates of Paxinos and Watson. The blue line indicates electrode placement.

Morphological Study (Nisslstaining)

The rats were euthanized 6 weeks after receiving rotenone and DMSO treatments, and their brains were then preserved in a 4% formalin solution in phosphate buffer at pH 7.4 following each electrophysiological experiment. Serially frozen slices of the hippocampus underwent two phosphate buffer washes before being dyed for 30 minutes with a 0.5% cresyl violet acid solution. The samples were then graded into ethanol solutions (70%, 95%, and 100%) and rinsed in distilled water. The slices were then cleaned in xylene twice, for five minutes each. After that, the slices were covered with organic mounting media made of dibutyl phthalate, polystyrene, and xylene [16]. A digital camera and a light microscope were used to capture histology pictures at the hippocampus level after drying. Using a rat brain atlas, histological preparations were examined [17].

Results and Discussion

Assessment of Expression of Excitatory and Inhibitory Responses of Hippocampal Neurons in Response to Ipsilateralentorhinal Cortex HFS

The essential characteristics of these cells have been discussed in detail earlier [15], and extracellular recordings of hippocampal neurons were utilized to explore the effects of rotenone and dimethyl sulfoxide (DMSO). Tetanic potentiation in the hippocampus with TP was 2.65 times (MTT= 39.69 / MBE = 14.96 spike/sec) during HFS (100 Hz for 1 s) in the rotenone group (Figure 2a), and TP PTP responses were 1.96 times (MTT= 23.39 / MBE = 11.93 spike/sec).The TP responses are significantly different between the rotenone and DMSO groups (p <0.05). Tetanic depression occurred during HFS at a rate of 4 times in neurons with TD PTD responses (MBE = 35.69 / MTT = 8.91 spike/s) and at a rate of 5 times in neurons with TD responses (MBE = 42.18 / TT = 8.42 spike/sec) in the DMSO group (Figure 2b).

 

a)

b)

Figure 2. Effects of rotenone and DMSO on hippocampus neuronal activity. Examples of spike activity in a single neuron include real-time impulse flow 20 s before (BE, before the event) and 20 s after stimulation (PE, post-event) (TP* and TD* effects). Hippocampal neurons showing TP, TP PTP, TD, and TD PTD responses in real-time for 20 s before HFS (M BE), 20 s after HFS (M PE), and during HFS (M HFS), were measured for their mean spike frequency.

Histological Study

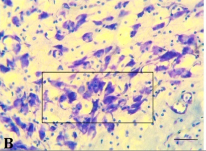
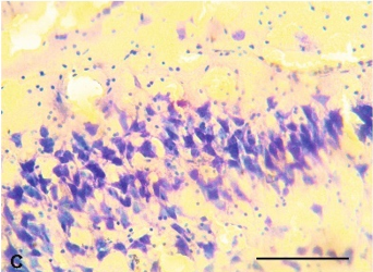
We found that rotenone caused profound morphological changes in the hippocampal cells. Although neurons in the hippocampus retained staining intensity after rotenone toxicity, they were wrinkled. The hippocampal cells exhibited irregular staining [18]. The structure of the Nissl substance was disrupted. Some neurons showed signs of edema. There was a redistribution of tigroids to the periphery of some neurons. Pyknosis of most neurons was observed in the rotenone group (Figure 3). Pyknotic neurons are characterized by small size, well-defined oblong forms, and intense chromatophilic substances (or Nissl bodies) in the cytoplasm. Their nuclei had a diffuse basophilic appearance, an elongated or triangular form, and their nucleoli were almost invisible.

 

a)

b)

c)

Figure 3. Nissl staining of hippocampal neurons in the rotenone group. Scale: A-C 100 µm.

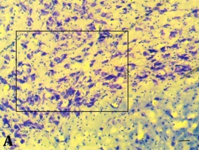
As shown in Figure 4, DMSO group neurons were characterized by round to oval nuclei. The chromatophilic substances of these neurons were evenly distributed in the cytoplasm as lumps with light spaces. The presence of both hyperchromic and hypochromic-stained cells characterizes the morphology of the hippocampus in the DMSO group. The processes are traced at a short distance, cell contours are visible, and light nuclei can be observed in some neurons. In general, the state of nervous tissue is characterized by varying degrees of functional activity due to the presence of hyperchromic neurons (Figure 4).

a)

b)

c)

Figure 4. Nissl staining of hippocampal neurons in DMSO-treated rats. Scale: A-C 100 µm.

In this study, we examined how three weeks of rotenone and DMSO treatment affected hippocampal neuronal activity and neuronal response properties in rats. The toxic effects of rotenone on DMSO-treated hippocampal CA1 and CA3 cells were compared. We found that the DMSO group had fully developed neurons in the hippocampus, replete with nucleoli that were easily visible, faintly colored cytoplasm, and orderly organization. The rotenone group, on the other hand, had notable cell shrinkage, amorphous cell morphology, cell membrane shrinkage, pyknotic and darkly pigmented nuclei, loosely distributed hippocampus cells, fewer pyramidal cells, and fewer Nissl bodies. Pyramidal cells and Nissl bodies in the hippocampus CA1 and CA3 areas of rats given rotenone therapy dramatically improved after DMSO treatment (Figures 3 and 4).

Based on these findings, it can be inferred that rotenone, an inhibitor of mitochondrial complex I, affects synaptic plasticity in the hippocampus differently compared to the DMSO group. The rotenone group showed increased tetanic potentiation, indicating enhanced synaptic strength and plasticity in response to high-frequency stimulation. This suggests that rotenone may modulate the excitability of hippocampal neurons. The strength of the inhibitory responses to HFS in the DMSO group was higher than in the rotenone group (Figure 2). Excitatory reactions to HFS were more mildly expressed in the DMSO group than they were in the rotenone group. TD and TD PTD were expressed significantly in hippocampal neurons (65% and 30%, respectively). We concluded that an increase in inhibitory signaling following DMSO treatment counteracted the system hyperexcitability caused by the toxic effects of rotenone. An imbalance between excitement and inhibition brought on by synaptic alterations enables the body to adjust to new pathogenic situations. Because of the dynamic nature of the excitation/inhibition balance, the circuit can work in a switch-like manner to amplify brief bursts of high-frequency activity and send signals with place-field-like characteristics [19]. The two inputs have opposing plasticity: excitation promotes spike integration, whereas feed-forward inhibition inhibits it [20]. Previously, using the same animal paradigm of rotenone-induced Parkinson's disease, we found that hippocampal neurons exhibited a preponderance of excitatory activity during HFS of the entorhinal cortex [21].

Due to its miscibility with water and capacity to promote membrane permeability, DMSO is an organic solvent that is employed as a vehicle for the absorption of substances that are insoluble in water on their own [22]. DMSO's effects change based on the cells, experiment type, and concentration. In cell cultures, DMSO has been shown to directly impact cell excitability by changing Ca+2, K+, Na+, and Cl- currents [23, 24]. NMDA and AMPA currents were repressed, and NMDA receptor activation was reduced in cultured neurons by DMSO [9]. On the other hand, rat dorsal ganglionic neurons' GABA-induced currents are inhibited by DMSO [24]. Ex vivo and in vivo investigations revealed a region-specific increase in spine density in the hippocampus of APPSDL mice treated with DMSO. DMSO also has a noticeable impact on mice's behavior, enhancing hippocampal-dependent spatial memory accuracy, regulating hippocampal-independent olfactory habituation, and having anxiolytic effects [25]. DMSO has been shown to have behavioral effects in adult rats, including effects that may reflect changes in cortical and/or hippocampal activity [26, 27].

A preferred neuroprotective agent is DMSO. In cases of severe brain damage, DMSO is an efficient neuroprotective drug against secondary cell death [28]. Ex vivo and in vivo, DMSO administration led to a region-specific increase in spine density in the hippocampus of APPSDL mice. Drugs that prevent aberrant Na+ influx into the brain cells exhibit considerable neuroprotective action in animal models of brain ischemia/hypoxia. Additionally, a number of clinical trials are presently being conducted to examine how this class of medications would affect cerebral ischemia [29, 30]. Since DMSO blocks Na+ channels, it explains why it has neuroprotective properties in brain cells after physical injury and ischemic stroke [31]. LTP in the CA1 region is altered by the pharmacological modulation of D1/D5 receptors [32]. This modulation correlates with memory tasks [33], implying that the loss of dopamine innervation of the hippocampus leads to impaired LTP, contributing to memory deficits in Parkinson’s disease. Furthermore, rotenone has been shown to inhibit the delayed rectifier K+ current [34] while increasing the ATP-sensitive K+ current [35] and Ca2+-activated high-conductance K+ channels [36]. It has been shown to increase NMDA-induced currents in dopaminergic substantia nigra neurons [37, 38]. CA1 neurons in the striatum and hippocampal nucleus are extremely vulnerable to ischemia and metabolic stress [38, 39].

Surprisingly, inhibiting inhibitory GABAergic transmission is harmful, especially when there is a lack of energy, and positive GABA modulation may be a possible neuroprotective tactic in clinical circumstances with high energy demands [39]. When GABA (A) and GABA (B) receptors are co-activated, ischemia in vitro is protected against neurodegeneration. The hippocampus is less vulnerable to rotenone's complex I inhibition than the striatum, according to earlier studies [40], but mounting data supports our conclusion that the hippocampus is considerably toxic to rotenone [21]. A key component of the brain responsible for many learning and memory processes is the hippocampus. Since the hippocampus is widely known to be extremely susceptible to oxidative stress, mitochondrial products like ATP and ROS play a crucial role in hippocampal synaptic transmission [41]. In mHippoE-18 (mouse hippocampus neurons), rotenone causes cell death [42]. Hippocampal LTP was disrupted, and hippocampal-dependent memory was altered in a transgenic mouse model of -synuclein aggregation created by expressing human -syn120 under the control of the tyrosine hydroxylase promoter [43]. Overall, these results indicate that rotenone and DMSO can modulate synaptic plasticity in the hippocampus, but they have opposite effects on TP and TD responses [44]. Rotenone enhances TP and induces a milder TD effect, while DMSO also enhances TP but induces a stronger TD effect. These findings suggest that rotenone and DMSO may have differential impacts on the excitability and plasticity of hippocampal neurons.

Conclusion

Last but not least, the rat rotenone model mirrored the pattern of functional impairments seen in Parkinson's disease in hippocampus neurons, and DMSO changed neuronal excitability.

Acknowledgments: We would like to thank Dr. Susanna Hakobyan for her histological studies.

Conflict of interest: None

Financial support: None

Ethics statement: The experimental procedures followed the guidelines outlined in the European Communities Council Directive (2010/63/UE) and were approved by the Ethics Committee of the Yerevan State Medical University after Mkhitar Heratsi (Approval code: N4 IRB APPROVAL, November 15, 2018).

References

  1. Cannon JR, Tapias V, Na HM, Honick AS, Drolet RE, Greenamyre JT. A highly reproducible rotenone model of Parkinson's disease. Neurobiol Dis. 2009;34(2):279-90. doi:10.1016/j.nbd.2009.01.016
  2. Betarbet R, Sherer TB, MacKenzie G, Garcia-Osuna M, Panov AV, Greenamyre JT. Chronic systemic pesticide exposure reproduces features of Parkinson's disease. Nat Neurosci. 2000;3(12):1301-6. doi:10.1038/81834
  3. Masato A, Plotegher N, Boassa D, Bubacco L. Impaired dopamine metabolism in Parkinson’s disease pathogenesis. Mol Neurodegener. 2019;14(1):35.
  4. Joelving FC, Billeskov R, Christensen JR, West M, Pakkenberg B. Hippocampal neuron and glial cell numbers in Parkinson's disease—a stereological study. Hippocampus. 2006;16(10):826-33. doi:10.1002/hipo.20212
  5. Helton TD, Otsuka T, Lee MC, Mu Y, Ehlers MD. Pruning and loss of excitatory synapses by the parkin ubiquitin ligase. Proc Natl Acad Sci. 2008;105(49):19492-7. doi:10.1073/pnas.0802280105
  6. Shohamy D, Myers CE, Hopkins RO, Sage J, Gluck MA. Distinct hippocampal and basal ganglia contributions to probabilistic learning and reversal. J Cogn Neurosci. 2009;21(9):1820-32. doi:10.1162/jocn.2009.21138
  7. Jokinen P, Brück A, Aalto S, Forsback S, Parkkola R, Rinne JO. Impaired cognitive performance in Parkinson's disease is related to caudate dopaminergic hypofunction and hippocampal atrophy. Parkinsonism Relat Disord. 2009;15(2):88-93. doi:10.1016/j.parkreldis.2008.03.005
  8. Ibarretxe-Bilbao N, Ramirez-Ruiz B, Tolosa E, Marti MJ, Valldeoriola F, Bargallo N, et al. Hippocampal head atrophy predominance in Parkinson’s disease with hallucinations and with dementia. J Neurol. 2008;255:1324-31. doi:10.1007/s00415-008-0885-8
  9. Lu C, Mattson MP. Dimethyl sulfoxide suppresses NMDA-and AMPA-induced ion currents and calcium influx and protects against excitotoxic death in hippocampal neurons. Exp Neurol. 2001;170(1):180-5. doi:10.1006/exnr.2001.7686
  10. Mekereș GM, Buhaș CL, Tudoran C, Csep AN, Tudoran M, Manole F, et al. The practical utility of psychometric scales for the assessment of the impact of posttraumatic scars on mental health. Front Public Health. 2023;11:1103714.
  11. Rosenblum WI, Wei EP, Kontos HA. Dimethylsulfoxide and ethanol, commonly used diluents, prevent dilation of pial arterioles by openers of KATP ion channels. Eur J Pharmacol. 2001;430(1):101-6. doi:10.1016/s0014-2999(01)01361-9
  12. Sawada M, Sato M. The effect of dimethyl sulfoxide on the neuronal excitability and cholinergic transmission in Aplysia ganglion cells. Ann N Y Acad Sci. 1975;243:337-57. doi:10.1111/j.1749-6632.1975.tb25375.x
  13. Brown FD, Johns LM, Mullan S. Dimethyl sulfoxide in experimental brain injury, with comparison to mannitol. J Neurosurg. 1980;53(1):58-62. doi:10.3171/jns.1980.53.1.0058
  14. Paxinos G, Watson C. The rat brain in stereotaxic coordinates: Compact, 6th edn. Academic Press, Cambridge. 2005.
  15. Darbinyan LV, Hambardzumyan LE, Simonyan KV, Chavushyan VA, Manukyan LP, Sarkisian VH. Rotenone impairs hippocampal neuronal activity in a rat model of Parkinson’s disease. Pathophysiology. 2017;24(1):23-30. doi:10.1016/j.pathophys.2017.01.001
  16. Bancroft JD, Gamble M. Theory and practice of histological techniques, 6th edn. Churchill Livingstone, London. 2008.
  17. Paxinos G, Watson C. The rat brain in stereotaxic coordinates, 6th edn. Academic Press, San Diego. 2007.
  18. Mekeres GM, Buhaș CL, Csep AN, Beiușanu C, Andreescu G, Marian P, et al. The importance of psychometric and physical scales for the evaluation of the consequences of scars—A literature review. ClinPract. 2023;13(2):372-83.
  19. Moreno A, Morris RG, Canals S. Frequency-dependent gating of hippocampal-neocortical interactions. CerebCortex. 2016;26(5):2105-14.
  20. Bartley AF, Dobrunz LE. Short‐term plasticity regulates the excitation/inhibition ratio and the temporal window for spike integration in CA 1 pyramidal cells. Eur J Neurosci. 2015;41(11):1402-15.
  21. Darbinyan LV, Hambardzumyan LE, Simonyan KV, Chavushyan VA, Manukyan LP, Badalyan SA, et al. Protective effects of curcumin against rotenone-induced rat model of Parkinson’s disease: In vivo electrophysiological and behavioral study. Metab Brain Dis. 2017;32:1791-803. doi:10.1007/s11011-017-0060-y
  22. Dumitru M, Vrinceanu D, Banica B, Cergan R, Taciuc IA, Manole F, et al. Management of aesthetic and functional deficits in frontal bone trauma. Medicina. 2022;58(12):1756.
  23. Ogura T, Shuba LM, McDonald TF. Action potentials, ionic currents and cell water in guinea pig ventricular preparations exposed to dimethyl sulfoxide. J Pharmacol Exp Ther. 1995;273(3):1273-86.
  24. Nakahiro M, Arakawa O, Narahashi T, Ukai S, Kato Y, Nishinuma K, et al. Dimethyl sulfoxide (DMSO) blocks GABA-induced current in rat dorsal root ganglion neurons. Neurosci Lett. 1992;138(1):5-8. doi:10.1016/0304-3940(92)90459-k
  25. Penazzi L, Lorengel J, Sündermann F, Golovyashkina N, Marre S, Mathis CM, et al. DMSO modulates CNS function in a preclinical Alzheimer's disease model. Neuropharmacology. 2017;113:434-44. doi:10.1016/j.neuropharm.2016.10.020
  26. Authier N, Dupuis E, Kwasiborski A, Eschalier A, Coudoré F. Behavioural assessment of dimethylsulfoxide neurotoxicity in rats. Toxicol Lett. 2002;132(2):117-21. doi:10.1016/s0378-4274(02)00052-8
  27. Rabow Z, Morningstar T, Showalter M, Heil H, Thongphanh K, Fan S, et al. Exposure to DMSO during infancy alters neurochemistry, social interactions, and brain morphology in long-evans rats. Brain Behav. 2021;11(5):e02146.
  28. Di Giorgio AM, Hou Y, Zhao X, Zhang B, Lyeth BG, Russell MJ. Dimethyl sulfoxide provides neuroprotection in a traumatic brain injury model. Restor Neurol Neurosci. 2008;26(6):501-7.
  29. Sanchez-Sandoval AL, Hernández-Plata E, Gomora JC. Voltage-gated sodium channels: from roles and mechanisms in the metastatic cell behavior to clinical potential as therapeutic targets. Front Pharmacol. 2023;14:1206136.
  30. Calabresi P, Marfia GA, Centonze D, Pisani A, Bernardi G. Sodium influx plays a major role in the membrane depolarization induced by oxygen and glucose deprivation in rat striatal spiny neurons. Stroke. 1999;30(1):171-9. doi:10.1161/01.str.30.1.171
  31. Bardutzky J, Meng X, Bouley J, Duong TQ, Ratan R, Fisher M. Effects of intravenous dimethyl sulfoxide on ischemia evolution in a rat permanent occlusion model. J Cereb Blood Flow Metab. 2005;25(8):968-77. doi:10.1038/sj.jcbfm.9600095
  32. Sheynikhovich D, Otani S, Bai J, Arleo A. Long-term memory, synaptic plasticity and dopamine in rodent medial prefrontal cortex: Role in executive functions. Front Behav Neurosci. 2023;16:1068271.
  33. Hagena H, Stacho M, Laja A, Manahan-Vaughan D. Strain-dependent regulation of hippocampal long-term potentiation by dopamine D1/D5 receptors in mice. Front Behav Neurosci. 2022;16:1023361.
  34. Gao XF, Wang W, He C. Rotenone inhibits delayed rectifier K+ current via a protein kinase A-dependent mechanism. Neuroreport. 2008;19(14):1401-5.
  35. Struzyna LA, Browne KD, Burrell JC, Vélez WJG, Wofford KL, Kaplan HM, et al. Axonal tract reconstruction using a tissue-engineered nigrostriatal pathway in a rat model of Parkinson's disease. Int J Mol Sci. 2022;23(22):13985.
  36. Dong L, Xie MJ, Zhang P, Ji LL, Liu WC, Dong MQ, et al. Rotenone partially reverses decreased BKCa currents in cerebral artery smooth muscle cells from streptozotocin‐induced diabetic mice. Clin Exp Pharmacol Physiol. 2009;36(10):e57-64. doi:10.1111/j.1440-1681.2009.05222.x
  37. Wu YN, Johnson SW. Rotenone potentiates NMDA currents in substantia nigra dopamine neurons. Neurosci Lett. 2007;421(2):96-100. doi:10.1016/j.neulet.2007.05.030
  38. Sims NR, Pulsinelli WA. Altered mitochondrial respiration in selectively vulnerable brain subregions following transient forebrain ischemia in the rat. J Neurochem. 1987;49(5):1367-74.
  39. Calabresi P, Centonze D, Bernardi G. Cellular factors controlling neuronal vulnerability in the brain: A lesson from the striatum. Neurology. 2000;55(9):1249-55. doi:10.1212/wnl.55.9.1249
  40. Tassone A, Meringolo M, Ponterio G, Bonsi P, Schirinzi T, Martella G. Mitochondrial bioenergy in neurodegenerative disease: Huntington and Parkinson. Int J Mol Sci. 2023;24(8):7221.
  41. Walters GC, Usachev YM. Mitochondrial calcium cycling in neuronal function and neurodegeneration. Front Cell Dev Biol. 2023;11:1094356.
  42. Milowska K, Szwed A, Zablocka M, Caminade AM, Majoral JP, Mignani S, et al. In vitro PAMAM, phosphorus and viologen-phosphorus dendrimers prevent rotenone-induced cell damage. Int J Pharm. 2014;474(1-2):42-9. doi:10.1016/j.ijpharm.2014.08.010
  43. Tofaris GK, Reitböck PG, Humby T, Lambourne SL, O’Connell M, Ghetti B, et al. Pathological changes in dopaminergic nerve cells of the substantia nigra and olfactory bulb in mice transgenic for truncated human α-synuclein (1–120): Implications for Lewy body disorders. J Neurosci. 2006;26(15):3942-50. doi:10.1523/JNEUROSCI.4965-05.2006
  44. Dumitru M, Berghi ON, Taciuc IA, Vrinceanu D, Manole F, Costache A. Could artificial intelligence prevent intraoperative anaphylaxis? Reference review and proof of concept. Medicina. 2022;58(11):1530.

 

 

QR code:

Short Link:
Views: 9889

Downloads: 393
Quick Access

Associations

Pharmacophore
ISSN: 2229-5402

Copyright © 2026 Pharmacophore. Authors retain copyright of their article if they are accepted for publication.
Creative Commons License
This work is licensed under a Creative Commons Attribution 4.0 International License.